Нам 20 лет!
Имплантация — 20 000 ₽

Москва ул. Соловьиная Роща, д.2
Пн-Пт: 900–2100 Сб: 1000–1800 Вс: Выходной

Запись на бесплатную консультацию:

Перезвоните мнеЗаписаться on-line
Меню

Пластика полости рта

Пластические операции в полости рта имеют различные показания - ортодонтические (нарушение прикуса), логопедические (нарушение произношения звуков) и даже связанные с нарушением акта сосания у детей грудного возраста. Однако чаще всего подобные операции проводятся специалистами в области пародонтологии для лечения и профилактики болезней пародонта.

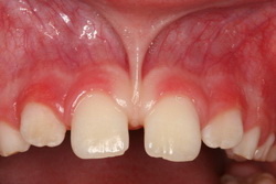
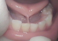
Пластика по увеличению преддверия полости рта

Пластика преддверия полости рта в стоматологии Апекс-ДПластика преддверия полости рта чаще всего рекомендована людям с мелким преддверием для профилактики рецессий десны и лечения пародонтита. Преддверие полости рта (передний отдел полости рта) - это пространство, ограниченное снаружи губами и щеками и альвеолярными отростками верхней и нижней челюсти изнутри. Примерно у 20% людей преддверие полости рта мелкое, т.е. расстояние от переходной складки до основания десневых сосочков передних зубов менее 5 мм.

Слишком высокое прикрепление тканей к альвеолярным отросткам приводит к значительному натяжению десны в области передних зубов, что может быть причиной не только косметического дефекта, но и возникновения рецессии (смещение десны в апикальном направлении с оголением корней зубов), атрофии десны, других признаков болезней пародонта (воспаление десны>, неприятный запах изо рта, кровоточивость десен и др.).

Увеличение преддверия полости рта проводится для устранения косметического дефекта, а также с целью лечения гингивита, устранения рецессии, лечения пародонтита, которые обусловлены мелким преддверием полости рта.

В настоящее время существует множество хирургических методик проведения пластики по увеличению преддверия полости рта, но в основном используются открытые методики (в результате углубления преддверия полости рта на альвеолярном отростке и слизистой оболочке губы раневые поверхности остаются открытыми и заживают вторичным натяжением), закрытые (после углубления преддверия полости рта раневая поверхность закрывается местными тканями и ушивается рассасывающимся шовным материалом), а также с использованием аутотрансплантантов, свободного кожного или слизистого лоскута для закрытия раневой поверхности. В некоторых случаях для формирования преддверия полости рта используется специальная пластинка (пластинка из мягкого материала с вестибулярным пелотом), которой пациенты пользуются в течение 2-3 месяцев после операции.

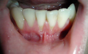
Пластика уздечек языка и губ

Пластика уздечки губы в Москве в Стоматологии Апекс-ДПомимо пластики увеличения преддверия полости рта в современной стоматологии часто используются операции по проведению пластики уздечек языка и губ.

Аномалии уздечек верхней или нижней губы и языка могут привести к возникновению диастемы (щель между верхними резцами), нарушений прикуса, локальной рецессии десны (оголение шейки и корня зуба), возникновению локального пародонтита, нарушениям артикуляции речи, а также к затруднению фиксации ортодонтических аппаратов. У детей грудного возраста аномалии уздечки языка могут привести к нарушению акта сосания.

Пластика уздечки языка консультация бесплатно в стоматологии Апекс-ДПластика уздечки языка заключается в её удлинении путем рассечения и расслоения краев раны в горизонтальной плоскости с последующим ушиванием краев раны опять же в вертикальной плоскости (у детей грудного возраста швы могут и не накладываться), а также в изменении её прикрепления к альвеолярному отростку нижней челюсти (производится рассечение мягких тканей от надкостницы до альвеолярного отростка и свободный край слизистой фиксируется к надкостнице в месте прикрепления подбородочно-подъязычной мышцы).

Пластика уздечки верхней или нижней губы производится путем V-образного разреза вокруг уздечки, смещением и отсепаровкой мышечных волокон от кости с последующим накладыванием швов.

СТОИМОСТЬ ХИРУРГИЧЕСКОГО ЛЕЧЕНИЯ В СТОМАТОЛОГИИ

I. Пластические операции

Наименование Стоимость, руб.
Пластика уздечки языка 5000
Пластика уздечки верхней губы 5000
Пластика уздечки нижней губы 5000
Вестибулопластика  6000
Гингивотомия 2000
Гингивэктомия 2000
Лоскутная операция в полости ртп 7000
Гингивопластика (пластика рецессии десны) 10000
Диатермокоагуляция при патологии полости рта и зубов 1500

Запишитесь на бесплатную консультацию

Представьтесь, пожалуйста *
Телефон *
Опишите Вашу ситуацию *

Записаться на приём в стоматологию Апекс-Д Вы также можете по телефонам: +7 (495) 749-07-12, +7 (495) 585-02-51,

написав нам в мессенджеры и социальные сети:

или же отправить заявку он-лайн.

Наш администратор свяжется с вами по указанному телефону и согласует дату и время приема.

Перезвоните мне

Представьтесь, пожалуйста *
Телефон *
Удобное время звонка