Нам 20 лет!
Имплантация — 20 000 ₽

Москва ул. Соловьиная Роща, д.2
Пн-Пт: 900–2100 Сб: 1000–1800 Вс: Выходной

Запись на бесплатную консультацию:

Перезвоните мнеЗаписаться on-line
Меню

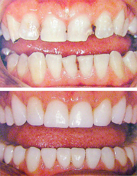
Художественная реставрация зубов: материалы и методы

Художественная реставрация зубов композитным материалом

Художественная реставрация зубов - повторение нормальной структуры естественного зуба путем имитации зубных тканей различными искусственными материалами. Особый, уникальный вид лечения. Наши доктора могут вернуть естественный вид вашим зубам, в определенных случаях не прибегая к протезированию. Современные фотополимерные материалы полностью имитируют форму и цвет ваших зубов и прослужат длительное время. В ходе реставрации зубов можно подкорректировать их контуры, например, округлить углы или сделать их более прямыми – оказывается, и такие мелочи могут сделать улыбку более привлекательной.

Современные материалы для реставрации зубов, благодаря своей широкой цветовой палитре, позволяют максимально натурально подобрать цвет обновленного зуба. Для этого стоматолог наслаивает материал с различными оттенками друг на друга небольшими порциями и отверждает его с помощью специальной лампы. В результате создается точная имитация прочной и полупрозрачной природной эмали. Это оказывается очень кстати, когда с возрастом прозрачный режущий край здоровых зубов истирается или скалывается. Если восстановить прежнюю форму режущего края, улыбка вполне может и «помолодеть».

Завершающим этапом реставрации зубов является обработка созданной конструкции методами шлифовки и полировки. Это для того, чтобы поверхность не отличалась от таковой у натурального зуба и давала эффект «влажного блеска». Вот таким вот передовым способом, в основе которого лежит мастерство квалифицированного стоматолога, быстро и надолго можно вернуть красивую улыбку, а с ней и уверенность в том, что вы всегда производите только нужное впечатление.

И, что важно для многих, благодаря реставрации зубов в большом количестве случаев отпадает надобность в протезировании поврежденных зубов коронками. А значит, и ткань зубов затрагивается не в пример меньше, так как не нужно ничего обтачивать, и работа идет обычно на уровне эмали. К тому же, реставрацию зубов, даже нескольких, можно провести за одно посещение стоматолога. И по сроку службы реставрационные материалы практически не уступают керамическим протезам, при значительно меньшей стоимости.

Художественная реставрация передних зубов

Художественная реставрация передних зубов помогает пациенту приобрести первозданную улыбку, т.е. ту улыбку, о которой он мечтает. Художественная реставрация передних зубов - это искусство, которое вышло из ремесла. До недавнего времени работа дантистов заключалась в основном в ремонте зубов или замене деталей в зубных конструкциях. Сегодня же у людей есть большое желание иметь красивую улыбку и выглядеть эстетично. Поэтому требования к стоматологии по лечению в эстетическом направлении повысились в последнее время. Художественная реставрация передних зубов – это как архитектура, стоматолог первым делом проводит работы с точными расчетами, и только потом приступает к созданию прекрасного сооружения.

Реставрация передних зубов при помощи вкладок и виниров

Эстетическая реставрация - это более радикальный метод, в процессе которого используются вкладки и виниры. Эстетическая реставрация передних зубов начинается с эндодонтического лечения. У пациента чистят каналы, убираются воспаленные ткани зуба и проводят пломбировку каналов. Реставрация передних зубов чаще всего проводится при помощи керамических виниров. Виниром называют накладку передней поверхности зуба. При использовании виниров зуб остается “живым”, т.е. происходит лишь обтачивание передней поверхности зуба, куда крепится винир при помощи специального цемента. Реставрация передних зубов таким методом считается наиболее эффективной, так как ее результат – это великолепная улыбка пациента, а ведь ради этого это все и делается. Хотя нужно сказать, что есть и практическое значение этой процедуры, кроме эстетики. Плотное прилегание винира к поверхности зуба оказывает профилактическое действие против кариеса или других воспалительных процессов в полости рта. Хотелось бы добавить, что реставрация передних зубов также проводится с использованием керамических или композитных вкладок.

методы Реставрация фронтальных зубов

Реставрация фронтальных зубов проводится так же при помощи виниров, когда у пациента выявлены соответствующие дефекты. Виниры представляют собой тонкие накладки, изготовленные из керамики. Они имеют индивидуальные анатомически мельчайшие особенности, которые оказывают восстанавливающий эффект на поверхность зуба. Реставрация фронтальных зубов позволяет менять цвет и форму зуба, а также убирать щели между зубами. Виниры не меняют цвет и долгое время не стираются, что является их преимуществом перед гелиокомпозитными пломбами. Кроме того, в случае с винирами не требуется удалять нервы в зубе, т.е. зуб сохраняет свою первозданную структуру.

Реставрация фронтальных зубов проводится с применением цельнокерамических коронок в случае более серьезных дефектов фронтальных зубов. В этом случае на гелиокомпозитный материал, подобранный по цвету зуба, фиксируются коронки. Таким образом, общая конструкция приобретает естественный цвет эмали.

Если разрушения очень серьезные, то реставрация фронтальных зубов проводится при помощи металлокерамических коронок.

ПРЯМАЯ РЕСТАВРАЦИЯ  от 9 000 рублей
восстановление формы и цвета с/о композитом*

* Применяется при разрушении более 1/3 зуба

ПодробнееЗаписаться на консультацию

СТОИМОСТЬ ЛЕЧЕНИЯ ЗУБОВ

I. Пломбирование, сколько стоит пломба, цена пломбы

Наименование Стоимость, руб.
Восстановление зуба пломбой I,V,VI, II,III класс по Блэку с использованием материалов из фотополимеров FILTEK (механическая и медикаментозная обработка кариозной полости, пломбирование с/о композитом, шлифовка) лечение поверхностного кариеса 4200
Восстановление зуба пломбой I,V,VI, II,III класс по Блэку с использованием материалов из фотополимеров FILTEK (механическая и медикаментозная обработка кариозной полости, изолирующая с/о прокладка, пломбирование с/о композитом, шлифовка) лечение среднего кариеса 6300
Восстановление зуба пломбой I,V,VI, II,III класс по Блэку с использованием материалов из фотополимеров FILTEK (механическая и медикаментозная обработка кариозной полости, изолирующая с/о прокладка, лечебная прокладка, пломбирование с/о композитом, шлифовка) лечение глубокого кариеса 7000
Восстановление зуба пломбой I,V,VI, II,III класс по Блэку с использованием материалов из фотополимеров FILTEK (механическая и медикаментозная обработка кариозной полости, изолирующая с/о прокладка, лечебная прокладка, пломбирование с/о композитом, шлифовка) реставрация коронковой части при разрушении более 1/3 части зуба 8000
Восстановление зуба пломбой I,V,VI, II,III класс по Блэку с использованием материалов из фотополимеров FILTEK (пломбирование с/о композитом, шлифовка) после эндодонтического лечения II-й визит

5000

Восстановление зуба пломбой IV класс по Блэку с использованием материалов из фотополимеров FILTEK (пломбирование с/о композитом, шлифовка) после эндодонтического лечения II-й визит 5000
Восстановление зуба пломбой IV класс по Блэку с использованием материалов из фотополимеров FILTEK (механическая и медикаментозная обработка кариозной полости, изолирующая с/о прокладка, лечебная прокладка, пломбирование с/о композитом, шлифовка) реставрация коронковой части зуба композитным виниром 7300
Восстановление зуба пломбой IV класс по Блэку с использованием материалов из фотополимеров FILTEK (механическая и медикаментозная обработка кариозной полости, изолирующая с/о прокладка, лечебная прокладка, пломбирование с/о композитом, шлифовка) реставрация коронковой части при разрушении более 1/3 части зуба 8000
Наложение временной пломбы Септопак 700
Наложение временной пломбы CLIP 800
Снятие временной пломбы бесплатно
Трепанация зуба, искусственной коронки (удаление старой пломбы) 500
Избирательное пришлифовывание твердых тканей зуба (пломбы) 500
Сошлифовывание твердых тканей зуба (диагностическое препарирование) 700
Запечатывание фиссуры зуба герметиком 1100

II. Эндодонтия - лечение каналов

Наименование Стоимость, руб.
Инструментальная и медикаментозная обработка корневого канала 1900
Инструментальная и медикаментозная обработка плохо проходимого корневого канала (ревизия) 700
Пломбирование корневого канала зуба гуттаперчивыми штифтами (пастой Эндометазон) 1000
Временное пломбирование лекарственным препаратом корневого канала (пастой Метапекс) 900
Временное пломбирование лекарственным препаратом корневого канала (пастой Крезофен) 600
Распломбировка корневого канала ранее леченного пастой 700
Распломбировка корневого канала ранее леченного фосфат цементом/резорцин-формальдегидным методом 1000
Фиксация внутриканального штифта (анкерного)/вкладки 1000
Фиксация внутриканального штифта (парапульпарного)/вкладки 1000
Фиксация внутриканального штифта (стекловолоконного)/вкладки 1500
Удаление внутриканального штифта/вкладки 1000

Эстетическая реставрация зубов

Современное общество сегодня развивается большими темпами, наряду с этим не отстает и развитие стоматологии. Общество большое внимание уделяет своему безупречному виду и эстетике. Нынешнее развитие общества нуждается в эстетизме и безупречном виде, которое само и придумывает. Каждый человек стремиться выглядеть прекрасно и безупречно. В этом плане человеческая улыбка – это одна из важных составляющих.

Помочь в этом вопросе может эстетическая реставрация зубов, процесс которой довольно не простой. Эстетическая реставрация зубов сложна тем, что каждый наш зуб по своим свойствам является неоднородным. Так, например, для того, чтобы цвет был натуральный, стоматолог наносит в несколько слоев реставрационный материал, последовательно слой за слоем, с применением специальной лампы для затвердевания материала. Таким образом, создается полная имитация настоящей зубной эмали. Эстетическая реставрация зубов также позволяет подправлять и здоровые зубы, корректируя их контуры и края.

Вопросы и ответы по данной теме: Реставрация зубов, восстановление зубов

Запишитесь на бесплатную консультацию

Представьтесь, пожалуйста *
Телефон *
Опишите Вашу ситуацию *

Записаться на приём в стоматологию Апекс-Д Вы также можете по телефонам: +7 (495) 749-07-12, +7 (495) 585-02-51,

написав нам в мессенджеры и социальные сети:

или же отправить заявку он-лайн.

Наш администратор свяжется с вами по указанному телефону и согласует дату и время приема.

Перезвоните мне

Представьтесь, пожалуйста *
Телефон *
Удобное время звонка