ПЕРВЫЙ ВИЗИТ 7 000 рублей
ПОВТОРНЫЙ ВИЗИТ 6 000 рублей
Air Flow + Ультразвуковая чистка + Укрепление эмали
Москва ул. Соловьиная Роща, д.2
Пн-Пт: 900–2100
Сб: 1000–1800
Вс: Выходной
Запись на бесплатную консультацию:
В нашей стоматологии действует акция на профессиональную гигиену полости рта, низкая цена, что входит: гигиена всей полости рта Air Flow и ультразвуком.
Сохранение своего здоровья – это важная задача каждого человека. Красивая улыбка, чистые, здоровые зубы и свежее дыхание привлекают внимание и улучшают настроение. Стоматология Апекс-Д приглашает всех на профессиональную гигиену полости рта в Москве.
Казалось бы, достаточно регулярно чистить зубы и можно забыть о стоматологических проблемах. Но даже в состоянии покоя и во сне происходит накопление мягково зубного налета, что является одной из причин такой проблемы как неприятный запах изо рта (галитоз).
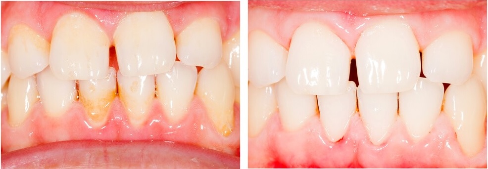
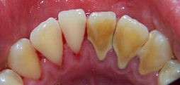
Зубной налет является основной причиной возникновения кариеса, воспаления десен (таких заболеваний, как гингивит или пародонтит).
Происходит это, в основном, из-за чрезмерного употребления продуктов богатых сахарами и неправильной гигиене полости рта, когда пациент не “выметает” а “загоняет” зубной налет в межзубные промежутки и десневую бороздку, увеличение глубины которой формирует пародонтальный карман.
Очищение зубов правильными выметающими движениями от десны к краю зубов утром и вечером лишает бактерий источника их питания и снижает риск выработки кислоты, разрушающей эмаль зубов, лишая ее важных минералов и прочности. Ослабленная эмаль более подвержена кариозному поражению.
В дальнейшем при недостаточной индивидуальной гигиене мягкие зубные отложения минерализуются и становятся твердыми, образовывается зубной камень.
Накопление зубного камня и вызывает воспаление, сопровождающееся такими симптомами как, кровоточивость и болезненность.
Патологический процесс прогрессирует и приводит к тому, что зубные отложения проникают глубоко под десну, а это уже провоцирует появление очагов воспаления в этой области.
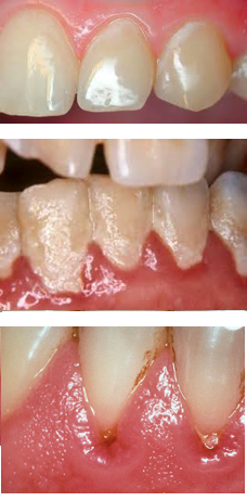
Образование глубоких пародонтальных карманов приводит к расшатыванию зубов, вместе с тем десна убывает и оголяютя корни зубов и, как следствие, зуб выпадает. Методы и средства личной гигиены не могут убрать зубной камень с над- и поддесневой областей, а так же с корня зуба.
Основной задачей профессиональной гигиены полости рта является не допустить разрушения зубодесневой связки и продлить срок жизни зуба.
Чтобы сохранить здоровье и эстетичный вид своих зубов, недопустить развитие осложнений заболеваний полости рта рекомендуется проходить регулярный бесплатный профилактический осмотр у стоматолога 2 раза в год.

При осмотре врач-стоматолог оценивает эффективность соблюдения пациентом всех необходимых личных гигиенических процедур с использованием индивидуальных средств гигиены.
Необходимость в проведении профессиональной гигиены полости рта в нашей стоматологии г. Москвы появляется в случае недостаточной и неудовлетворительной индивидуальной гигиене.
Профессиональная гигиена зубов и десен проводится врачом-стоматологом с регулярностью не реже 2-х раз в год с целью профилактики заболеваний пародонта и предотвращения развития кариеса.
В нашей стоматологии г. Москвы комплексная профессиональная гигиена полости рта состоит из 4-х последовательных манипуляций:

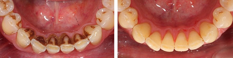
Вначале проводится процедура скейлинга (англ. scaling) – удаление зубного камня ультразвуковым аппаратом EMS Piezon master 400. Воздействие звуковой волны большой интенсивности в сочетании с обильной ирригацией под высоким давлением приводит к образованию микротрещин и откалыванию кусочков зубного камня.

При помощи специального наконечника врач убирает твердые зубные отложения с наддесневых областей и из ддесневых карманов, которые свидетельствуют о наличии парадонтологического заболевания.
Профессиональная гигиена полости рта ультразвуком, в этом случае, является необходимой предварительной манипуляцией перед проведением дальнейшего лечения.
Воздействие звуковой волны большой интенсивности в сочетании с обильной ирригацией под высоким давлением приводит к образованию микротрещин и откалыванию кусочков зубного камня. Поцедура удаления зубного камня ультразвуком абсолютно безвредна, не оказывает механического воздействия на поверхности зубов и не повреждает зубную эмаль.
Для каждого пациента врач подбирает мощность ультразвукового скейлера, соответствующую состоянию его зубов. Чаще всего ультразвуковая чистка зубов проходит бескровно и безболезненно, но в некоторых случаях, при повышенной чувствительности зубов или при снятии зубного камня в поддесневых областях, применяется местная анастезия.

Ультразвуковым скалером производится удаление темной пигментации зубов, в том числе от курения и употребления кофе.
Эта процедура осветляет зубы до их натурального цвета, но не отбеливает (не обесцвечивает пигменты , а снимает пигментированный налет).
На очищенных и посветлевших поверхностях зубов лучше заметны очаги кариозного поражения в самых начальных стадиях развития. Поэтому, перед лечением и пломбированием зубов ультразвуковая чистка особенно показана.
Вторым этапом проводится гигиеническая чистка зубов с помощью профессиональной системы EMS Air Flow S1. Пескоструйный метод Air flow это очищение зубов посредством подачи струи под сильным напором из воздуха и воды с использованием специального порошка - бикарбоната натрия (или пищевой соды). Кристалы округлой формы не повреждают эмаль зубов и не травмируют слизистую оболочку ротовой полости.
Метод профессиональной гигиены полости рта Air Flow не вызывает аллергических реакций, эффективно удаляет мягкие зубные отложения с поверхностей зубов и из труднодоступных участков (в частности, из межзубных промежутков, которые ранее были недоступны, при непосредственной механической обработке специальными инструментами) снимает зубной налет, очищает поверхность зубов от поверхностной затемненной пигментации, не исключая налет от курения, пищевых и др. красящих веществ.

В результате проведения профессиональной гигиены полости рта Air Flow эмаль зубов осветляется до естественного цвета, а под воздействием сильного давления поверхность эмали поддается легкой шлифовке, становится чистой и гладкой, что способствует усилению оздоравливающего эффекта от лечебно-профилактических средств, наносимых на поверхность зубов после очищения.
Данная процедура мягко и бережно очищает поверхности зубов от загрязнений без механического контакта инструмента с поверхностью зубов и без применения химических составов.
Эффект от проведения одной процедуры заметен сразу, а за счет того, что чистые и гладкие зубы лучше отражают свет, они выглядят немного белее. Эта процедура продолжается не более 40 минут.
На третьем этапе процедуры проводится шлифование и полирование обработанных поверхностей зубов и пломб. С помощью шлифования происходит устранение шероховатостей и микронеровностей поверхностей.
Процедура полировки делает поверхность зубной эмали идеально гладкой, именно на такой поверхности зубному налету сложнее закрепиться, и это в дальнейшем предупреждает образование зубных отложений.
Отшлифованная и отполированная поверхность зубной эмали приобретает не только приятный эстетичнный вид, но еще и лечебно-профилактическое значение.
Поверхность зубной эмали после очищения и полирования становится более восприимчивой к воздействию фторсодержащих препаратов. Обработка зубной поверхности методом фторирования зубов проводится в качестве реминерализующей терапии с целью восполнения концентрации соединений фтора в зубных тканях и профилактики повышенной чувствительности зубов (гиперестезии).
После полирования зубов проводится простое фторирование эмали для насыщения и укрепления эмали в поверхностных слоях.
Во время процедуры на зубы наносится слой фторсодержащего лака, который образует на поверхности пленку и защищает эмаль зубов от вредного воздействия в течение некоторого времени. Потом процедуру желательно повторить.
По желанию пациента в нашей клинике в целях профилактики кариеса врач проводит глубокое фторирование зубной эмали. Этот метод является более действенным, его эффективность объясняется большей концентрацией ионов фтора и содержанием в препаратах меди, магния и кальция. Кристалы фторида кальция проникают глубоко в структуру эмали и заполняют изнутри (герметизируют) все микропространства. Кроме этого, соединения меди обеспечивают антибактериальную защиту. Повторять процедуру для поддержания профилактического эффекта можно 1 раз в год.
| Наименование | Стоимость, руб. |
| Профессиональная гигиена полости рта и зубов первично | 7000 |
| Профессиональная гигиена полости рта и зубов повторно | 6000 |
| Удаление наддесневых и поддесневых зубных отложений (1 зуба) | 300 |
| Избирательное полирование зуба (пастой Детартрин) | 200 |
| Глубокое вторирование эмали зуба | 200 |
| Электроодонтометрия зуба | 200 |
| Временное шинирование при заболеваниях пародонта | 1500 |
| Профессиональное отбеливание зубов (ZOOM) | 27000 |
Профессиональную гигиену полости рта и зубов можно и даже показано проводить беременным женщинам, если есть необходимость. Правда в первом триместре от подобной процедуры желательно воздержаться.
Во время беременности в некоторых случаях под действием гормональных факторов может происходить гипертрофированное увеличение десны (гипертрофический гингивит). Женщине становится затруднительно самостоятельно качественно очищать десневую бороздку, т. к. десна воспаляется, увеличивается в объеме и появляется кровоточивость. Если женщина увидела такую ситуацию у себя во рту, конечно, лучше сразу обратиться к врачу-стоматологу, для избежания осложнений (следующей стадии - пародонтита).
Врач проведет необходимые профилактические процедуры, успокоит воспаленную десну, удалит зубной камень, очистит и отполирует поверхность зубов, нанесет фторсодержащие препараты.
В дальнейшем, важно продолжать тщательно чистить зубы, но нужно подобрать зубную щетку с самой мягкой щетиной, чтобы не травмировать воспаленные ткани пародонта.
Записаться на приём в стоматологию Апекс-Д Вы также можете по телефонам: +7 (495) 749-07-12, +7 (495) 585-02-51,
написав нам в мессенджеры и социальные сети:
или же отправить заявку он-лайн.
Наш администратор свяжется с вами по указанному телефону и согласует дату и время приема.