Москва ул. Соловьиная Роща, д.2
Пн-Пт: 900–2100
Сб: 1000–1800
Вс: Выходной
Запись на бесплатную консультацию:
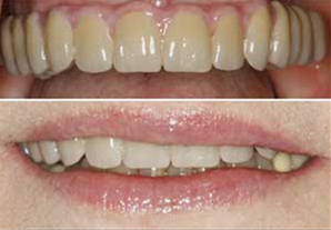
Сегодня все чаще пациенты обращаются за стоматологической помощью для полного протезирования на имплантах одного зубного ряда или обоих челюстей.
Имплантация с последующим протезированием на имплантах при полном отсутствии зубов дает эстетичное решение данной проблемы в долгосрочном периоде.
Естественное желание пациента испытывать удобство при ношении протеза формирует высокие функциональные требования.
Полное протезирование зубов на имплантах осуществляется классическим методом установки дентальных имплантов, в качестве опор будущего протеза, это обеспечивает надежность крепления и гарантирует максимально длительную сохранность протезной конструкции, что увеличивает период ее эксплуатации в исправном состоянии под действием ежедневных физических нагрузок.
Полное протезирование зубов на имплантах, в зависимости от способа фиксации конструкции делят на виды:
.png)
Чаще удаление зубов происходит не в один момент, поэтому при полной адентии наблюдается неодинаковое состояние твердых тканей в отдельных сегментах челюстной кости. От этого зависит какой способ предпочтительнее выбрать для полного протезирования на имплантах, цена, так же, измениться, если потребуется пластика альвеолярной кости.
Для выполнения работ по полному протезированию на имплантах искусственная десна обязательно присутствует при изготовлении съемных протезных конструкций. Искусственная десна при полном протезировании челюсти является составным элементом съемного протеза, которая стабилизирует саму протезную конструкцию и помогает равномерно распределять функциональную жевательную нагрузку.
При несъемном полном протезировании зубов на имплантах, необходимость искусственной десны определяется в зависимости от рельефа и объема опорной кости пациента и возможности проведения операции по наращиванию костной ткани в предполагаемой зоне имплантации.
При выполнении протезирования на имплантах при полном отсутствии зубов, цена всех работ определяется врачом на консультации. При этом, чаще всего пациент ориентируется на стоимость имплантов определенной системы имплантации и, далее, уже врач определяет оптимальное количество имплантов, которое можно установить, в зависимости от состояния костной ткани челюсти и в соответствии с этими данными подбирает тип протезной конструкции.
При определении стоимости установки имплантов на всю челюсть с последующим полным протезированием зубов на имплантах, цена имплантации со скидкой по акции в нашей стоматологии на 20% уменьшает итоговую стоимость восстановления челюсти на имплантах.
| Наименование | Стоимость, руб. |
| Установка имплантата Niko Dental (Россия-Германия) | 20000 |
| Установка имплантата Alpha Bio (Израиль) | 20000 |
| Установка имплантата Astra Tech (Швеция) | 50000 |
| Установка имплантата Nobel Replace (США) | 45000 |
| Установка имплантата Biomet 3i (США) | 45000 |
| Установка имплантата Mis (Израиль) | 30000 |
| Наименование | Стоимость, руб. |
| Установка формирователя на имплантат Niko Dental | 5000 |
| Установка формирователя на имплантат Alpha Bio | 3500 |
| Установка формирователя на имплантат Astra Tech | 10000 |
| Установка формирователя на имплантат Nobel Replace | 5000 |
| Установка формирователя на имплантат Biomet 3i | 5000 |
| Установка формирователя на имплантат Mis | 5000 |
| Наименование | Стоимость, руб. |
| Протезирование зуба с использованием имплантата Niko, Alpha Bio (металлокерамическая коронка) | 28000 |
| Протезирование зуба с использованием имплантата Niko, Alpha Bio (промежуточная часть, металлокерамика) | 25000 |
| Протезирование зуба с использованием имплантата Astra Tech (металлокерамическая коронка) | 48000 |
| Протезирование зуба с использованием имплантата Astra Tech (промежуточная часть, металлокерамика) | 43000 |
| Протезирование зуба с использованием имплантата Mis (металлокерамическая коронка) | 38000 |
| Протезирование зуба с использованием имплантата Mis (промежуточная часть, металлокерамика) | 30000 |
| Наименование | Стоимость, руб. |
| Протезирование зуба с использованием имплантата Niko, Alpha Bio (циркониевая коронка) | 40000 |
| Протезирование зуба с использованием имплантата Niko, Alpha Bio (промежуточная часть, цирконий) | 33000 |
| Протезирование зуба с использованием имплантата Astra Tech (циркониевая коронка) | 58000 |
| Протезирование зуба с использованием имплантата Astra Tech (промежуточная часть, цирконий) | 43000 |
| Протезирование зуба с использованием имплантата Mis (циркониевая коронка) | 43000 |
| Протезирование зуба с использованием имплантата Mis (промежуточная часть, цирконий) | 35000 |
| Наименование | Стоимость, руб. |
| Протезирование зуба с использованием имплантата: съёмный акриловый протез с фиксацией на 4 имплантатах (фрезерованная балка), балочный протез из 14 зубов на 1 челюсть из трехслойной акриловой пластмассы | 260000 |
При отсутствии большого количества зубов, оставшиеся зубы, как правило, не отличаются крепким здоровьем. Чем дольше существует проблема, тем более сложная ситуация сформируется на момент восстановления зубов.
Выбирая полное протезирование на имплантах пациенту проводится тщательное обследование каждого оставшегося зуба. Очень часто сохранить оставшиеся зубы просто невозможно или нецелесообразно, в том случае, если зубы расшатаны или выявлены воспалительные заболевания тканей пародонта.
Диагностирование пародонтита – это факультативное противопоказание к имплантации. В некоторых случаях требуется эндодонтическое лечение и замена старых протезов.
Протезирование на имплантах при полном отсутствии зубов не предполагает установку имплантов в месте каждого утраченного зуба. Современная стоматология сегодня предлагает разные способы полного протезирования на имплантах по цене приемлемой каждому.
На практике часто применяется наиболее надежный и оптимальный способ восстановления всего зубного ряда челюсти методом установки от 2 до 8 имплантов в каждую челюсть и дальнейшего съемного или несъемного полного протезирования на имплантах мостовидной конструкцией.
Для несъемного протезирования на имплантах при полном отсутствии зубов предпочтительнее изготовить мостовидный протез не в виде единой конструкции на весь зубной ряд, т.н. подковы, а разбить мост на 3 сегмента:
Основной недостаток мостовидного протеза в виде подковы в том, что он просто может сломаться из-за внутреннего напряжения или привести к перегрузке какого-либо импланта.
Наиболее оптимально, для протезирования на имплантах при полном отсутствии зубов, по цене в том числе, собрать мостовидную конструкцию из двух полуподков или трех мостов с отдельной фиксацией в челюстной кости.
Такой метод полного протезирования зубов на имплантах упростит уход за протезом в домашних условиях и, при необходимости, починку протеза у стоматолога, т.к. для обслуживания достаточно снять один из секторов мостовидного протеза, а не свою конструкцию целиком.
Записаться на приём в стоматологию Апекс-Д Вы также можете по телефонам: +7 (495) 749-07-12, +7 (495) 585-02-51,
написав нам в мессенджеры и социальные сети:
или же отправить заявку он-лайн.
Наш администратор свяжется с вами по указанному телефону и согласует дату и время приема.