Нам 20 лет!
Имплантация — 20 000 ₽

Москва ул. Соловьиная Роща, д.2
Пн-Пт: 900–2100 Сб: 1000–1800 Вс: Выходной

Запись на бесплатную консультацию:

Перезвоните мнеЗаписаться on-line
Меню

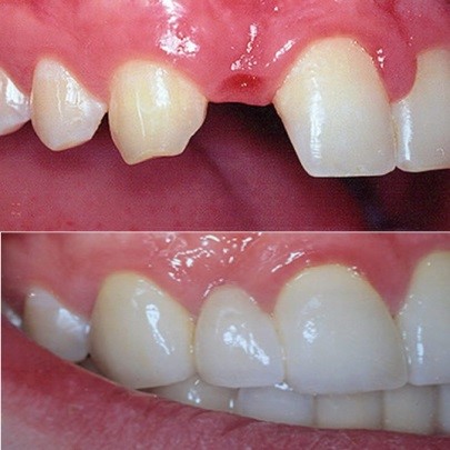
Несъемный мостовидный протез с опорой на своих зубах

Содержание

Свойства мостовидных протезов

Пконструкция мостовидного протезаротезирование зубов мостовидными несъемными зубными протезами применяется для восстановления зубного ряда в случае отсутствия не более 2 зубов кряду. Утраченный зуб замещается искуственным зубом методом несъемного мостовидного протезирования с фиксацией на естественные опорные зубы, граничащие с областью деффекта.

Чаще применяется единая несъемная конструкция, которая имеет жесткое соединение между искусственным зубом и коронками, крепящимися на соседние опорные зубы.

Преимущества мостовидных протезов:

  • восстановление эстетической, речевой и жевательной функций;
  • короткий адаптационный период, 3-7 дней;
  • отсутствие дискомфорта при ношении протеза;
  • ощущение естественного комфорта при приеме пищи;
  • максимальное соответствие и незаметность протеза в ряду собственных зубов;
  • легкость конструкции;
  • вовремя установленный протез предотвращает смещение соседних с отсутствующим зубов;
  • правильно подобранная мостовидная конструкция прослужит много лет;
  • добросовестная гигиена и регулярный осмотр у врача помогут сохранить протез без нарушений со стороны конструкции и вызванных этим неудобств;
  • мостовидный протез лучшим образом подходит для восстановления сразу нескольких подряд разрушенных, но сохраненных (не показанных к удалению) зубов;

Недостатки несъёмных мостовидных протезов: 

                       Обточка зубов под мостовидный протез  

  • ПРЕПАРИРОВАНИЕ ЗУБОВ ПОД МОСТОВИДНЫЕ ПРОТЕЗЫ

Опорные зубы депульпируют - удаляют из них нерв и обтачивают - снимают слой твердых тканей зуба до размера небольшого стержня или культи.

Под металлокерамическую коронку, как правило, нерв необходимо удалить, в противном случае большая вероятность наступления осложнений, которые проявляются в виде болевого синдрома, а так же воспаления самого нерва и окружающих корень зуба тканей. Произойти это может в результате перегрева сосудисто-нервного пучка при обточке зуба, нерв впоследствии умрет под коронкой и станет причиной развития периодонтита.

Другая причина удаления нерва – это неровное положение зуба. Обтачивание такого зуба может потребовать сепарации большого количества тканей с одной стороны, что может привести к вскрытию полости зуба.

Грамотно проведенное эндодонтическое лечение исключает возможность таких осложнений.

  • НАГРУЗКА НА ОПОРНЫЕ ЗУБЫ

Опорные зубы, задействованные в мостовидном протезе принимают на себя в 1,5-2 раза больше жевательной нагрузки, которая передается на них от отсутствующего зуба. Собственным зубам свойственна физиологическая подвижность, поэтому для опор несъемного моста, соответственно, характерна некоторая микроподвижность. Усилия прилагаемые для жевания и глотания вызывают напряжения в системе протез – пародонт, что в совокупности с увеличенной нагрузкой на опорные зубы, которые уже предварительно подверглись механической обработке, постепено может привести к снижению их устойчивости и развитию патологических процессов или поломке.

  • ЩЕЛЬ МЕЖДУ ДЕСНОЙ И МОСТОВИДНЫМ ПРОТЕЗОМ

Отсутствие естественного или искусственного корня зуба становится причиной развития процесса атрофии костной ткани. Мостовидный протез обеспечивает большую нагрузку на твердые и мягкие ткани в области опорных зубов, а в области искусственного зуба (промежуточной части) костная ткань не испытывает достаточной функциональной нагрузки и продолжает убывать. Со временем, убыль кости становится заметной под протезом и создает неэстетичный внешний вид: под искусственным зубом появляется видимая щель. Теперь, в первую очередь, необходимо обеспечить надлежащий гигиенический уход.

Что ставить мост или имплант?

На практике врач-стоматолог всегда предпочитает сохранить нерв здоровому зубу и не способствовать преждевременному исчерпанию его биологического ресурса.

Живой зуб прослужит намного дольше!

В большинстве случаев самым рациональным способом восстановления отсутствующего зуба становится имплантация.

Установка дентального имплантата вместо отсутствующего зуба не повреждает рядомстоящие зубы, и восполняет физиологическую нагрузку на ткани в области деффекта, что позволяет исключить атрофию кости в будущем. Имплантат – самостоятельная единица, на вид и по ощущениям мало отличима от собственных зубов. Длительность имплантологического лечения оправдывается прогнозируемым весьма высоким уровнем приживляемости имплантата – 96%. Кроме того, итоговая стоимость работ по установке одного имплантата в нашей клинике не сильно отличается от стоимости рбот по изготовлению несъёмного мостовидного протеза в Москве из 3-х единиц.

От чего зависит стоимость зубных мостовидных протезов

Цена несъемного мостовидного протеза зубов определяется исходя из количества единиц искусственных коронок и выбора материала изготовления мостовидных протезов.

Для применения мостовидного протеза соседние зубы могут быть использованы в качестве опор если:

  • они не имеют подвижности средней степени;
  • они не имеют сильного наклона;
  • отсутствует восполительный процесс в области корня и десны (периодонтит и пародонтит соответственно).

ИЗ МЕТАЛЛОКЕРАМИКИ 69 000 рублей*
ЦИРКОНИЕВЫЙ  108 000 рублей*

* Установка 3-х коронок

ПодробнееЗаписаться на консультацию

Стоимость мостовидного протеза

I. коронки

Наименование Стоимость, руб.
Восстановление зуба коронкой (металлокерамической с плечевой массой) 23000
Восстановление зуба коронкой (цельнокерамической) 36000
Восстановление зуба коронкой (керамической на оксиде циркония CAD (CAM)+Cercon Ceram) 36000
Восстановление зуба коронкой (цельнолитой) 20000
Восстановление зуба коронкой (временной пластмассовой лабораторной) 5500

II. вкладки (металлические)

Наименование Стоимость, руб.
Восстановление зуба коронкой с использованием цельнолитой культевой вкладки (вкладка однокорневая, доп. к стоимости) 6000
Восстановление зуба коронкой с использованием цельнолитой культевой вкладки (вкладка разборная, доп. к стоимости) 7000

При сильных разрушениях коронковой части зуба создание культи под коронку бывает затруднено из-за недостаточного количества твердых собственных тканей, поэтому, в таком случае со слепков изготавливают культевую вкладку.

Уход за несъёмными мостовидными протезами

уход за мостовидными протезамиУход за мостовидными протезами несложный. Используемые современные качественные материалы и применение новых технологий при изготовлении обеспечивают протезу высокие прочностные и эстетические характеристики. Насколько продолжительным будет эксплуатационный период мостовидной конструкции, зависит, в первую очередь, от мастерства врача и зубного техника, а в дальнейшем от того, насколько добросовестно пациент соблюдает рекомендации врача.

ПРАВИЛЬНЫЙ ГИГИЕНИЧЕСКИЙ УХОД: тщательное очищение конструкции выметающими движениями в направлении от десны к краю зубов; не менее тщательное очищение участков окружающих мост и контактирующих с пародонтом.

Наилучшими помощниками станет зубная нить для мостовидных протезов и ирригатор, который под давлением направляет струю воды и качественно вычищает пространства.

ПОСЕЩЕНИЕ ВРАЧА ДВАЖДЫ В ГОД: возьмите за привычку проходить бесплатный профилактический осмотр у стоматолога.

Соблюдение технических требований: что бы не допустить повреждения мостовидного протеза не рекомендуется использовать его не по назначению (например, колоть орехи зубами), скрежетать зубами, давать избыточные нагрузки на протезы.

Долго ли будет служить мостовидный протез?

свойства мостовидных протезовМостовидный протез имеет определенный срок эксплуатации и в самой благоприятной перспективе через 10 лет такая конструкция требует обязательной замены.

Постоянные нагрузки, недобросовестная гигиена, отсутствие регулярного наблюдения у стоматолога приводят к преждевременному разрушению конструкции.

Ткани зуба под коронкой слабое звено всей конструкции.

В результате возможного размывания цемента образуется полость и нарушается герметичность, что способствует формированию под коронкой сахаросодержащей среды. Неприятный запах, вследствие процессов гниения тканей зуба, развитие вторичного кариеса, в том числе, в результате перехода заболевания с контактной (боковой) стороны соседнего зуба разрушают опоры, а поздняя диагностика заболевания может привести к их потере.

Причиной расшатывания моста может стать и приобретенная патологическая подвижность или поломка опорного зуба. Если мост шатается или уже в случае выпадения моста, когда опорные зубы оказываются в очень уязвимом положении перед воздействием агрессивной среды полости рта, нужно незамедлительно обратиться к врачу для выявления причин и своевременного проведения лечения и корректировочных манипуляций.

Запишитесь на бесплатную консультацию

Представьтесь, пожалуйста *
Телефон *
Опишите Вашу ситуацию *

Записаться на приём в стоматологию Апекс-Д Вы также можете по телефонам: +7 (495) 749-07-12, +7 (495) 585-02-51,

написав нам в мессенджеры и социальные сети:

или же отправить заявку он-лайн.

Наш администратор свяжется с вами по указанному телефону и согласует дату и время приема.

Перезвоните мне

Представьтесь, пожалуйста *
Телефон *
Удобное время звонка