Москва ул. Соловьиная Роща, д.2
Пн-Пт: 900–2100
Сб: 1000–1800
Вс: Выходной
Запись на бесплатную консультацию:
У многих пациен
тов при полной адентии на момент обращения в стоматологию, для имплантации 4 дентальных единиц в передней области костный массив обычно сохраняется в достаточном объеме для удержания импланта в кости и наращивать костную ткань нет показаний.
При этом если объема челюстной кости достаточно для установки еще 1 или 2 имплантов, то не следует отказываться, это значительно сократит возможность наступления рисков, связанных с отторжением какого-либо импланта и, как следствие, замены всего протеза.
Для этого 2-4 импланта устанавливаются в прямом положении во фронтальной области и 2 крайних импланта горизонтально или под наклоном в области жевательных 5-6 зубов.
Установка 6 имплантов подразумевает, что шесть опорных единиц принимают на себя всю зубочелюстную нагрузку в достаточной степени для поддержания правильного функционирования кости.
Что касается протезирования и имплантации верхней челюсти на 4 опорах, то здесь большое значение имеют анатомические особенности строения челюсти.
Форма верхней челюсти не всегда позволяет расположить импланты строго вертикально, что является обязательным условием фиксации протеза при помощи кнопочного механизма.
Изготовление на верхнюю челюсть балочного протеза на 4 имплантах может вызвать у пациента некомфортные ощущения со стороны неба за счет громоздких размеров конструкции.
Объемная и выпуклая форма протеза изнутри может доставлять неудобства при ношении протеза.
На верхней челюсти плотность костной ткани меньше, и для того что бы основательно закрепить протез при полном отсутствии зубов требуется установить больше опорных структур. Таким образом, для надежной фиксации протеза без неба в верхнюю челюстную кость рекомендовано вживить не менее 6 имплантов.
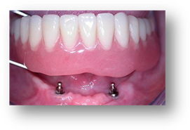
Метод протезирования на 4 имплантах применяется с целью протезирования челюсти в условиях полной адентии.
В том числе, рассматриваются случаи, когда к удалению показана большая часть своих зубов, не подлежащих восстановлению.
На этапе имплантации предполагается вживление в челюсть 4 опорных имплантов, которые и будут удерживать всю протезную конструкцию из 12 зубов.
Практическое применение протеза челюсти на 4 имплантах в большей степени рекомендовано для восстановления нижней челюсти с использованием балочной системы фиксации протеза, как наиболее надежного и долговечного.
Если сравнивать со стоимостью протезирования с шаровидным креплением конструкции, то за установку под ключ балочного зубного протеза на 4 имплантах цена увеличивается, за счет дорогой стоимости изготовления балки высокой точности.
Установка 4 имплантов производится преимущественно во фронтальном секторе зубного ряда, с целью обхода анатомически важных зон нижней челюсти, это нижнечелюстной нерв и гайморовые пазухи на верхней челюсти.
Следует отметить, что для проведения имплантации используется преимущественно подбородочная область (между клыками), в которой объем оставшейся кости почти всегда сохраняется в достаточном количестве и его хватает для установки в челюсти 4 имплантов параллельно друг к другу.
Позиционирование боковых имплантов под наклоном рассматривается как компромиссный вариант при нехватке опорной кости.
Гарантия долгосрочного использования балочного протеза челюсти на 4 имплантатах, его сохранности и функционирования во многом зависит от позиционирования имплантов в кости и правильно подобранной техники фиксации условно-съемной конструкции.
П
ротез на балке с опорой на имплантаты имеет плотное прилегание и надежную винтовую фиксацию, при этом выглядит максимально естесственно. Базис протеза изготавливается из современных материалов и повторяет рельеф и цвет натуральной десны.
Балочное крепление зубного протеза на 4 имплантах позволяет использовать меньшее количество опорных структур в челюстной кости, что для пациента определяет наиболее приемлемую цену имплантации зубов.
Операция по вживлению 4 имплантов проводится классическим методом с отсроченной нагрузкой постоянным протезом. Это самая надежная и проверенная технология, используемая десятилетиями, согласно которой стабильность импланта и полная его интеграция с костью достигается через 3-6 месяцев (для нижней и для верхней челюсти, соответственно).
Условно съемный протез челюсти на 4 имплантах можно снять для обслуживания в условиях клиники не травмируя импланты. Балка способствует распределению функциональной нагрузки на всю челюстную кость.
Механизм предполагает фрезерную технику точного выпиливания самой балки и изготовление в теле базиса протеза ответной части. Этот механизм прочно защелкивается и стабильно удерживает всю конструкцию.
Этот способ установки четырех имплантов только в переднем отделе челюсти не обеспечивает распределение жевательной нагрузки на боковые области..png)
Поэтому, для равномерной нагрузки и функционирования всей кости челюсти крайние импланты в качестве опор устанавливаются в область жевательных зубов.
Условно съемной конструкция считается, так же, при закреплении каркаса протеза способом кнопочной фиксации (или шаровидного крепления).
Для того чтобы крепление конструкции было стабильным необходимо расположить крайние импланты в боковых отделах челюстной кости.
Суть метода кнопочной фиксации заключается в использование специальных шаровидных абатментов, которые прикручиваются к имплантам и соединяются с протезом при помощи специальных металлических колпачков, расположенных в теле базиса протеза.
В сравнении с креплением съемного протеза на балке с 4 опорными единицами зубов, шаровидное крепление по цене выходит дешевле.
| Наименование | Стоимость, руб. |
| Установка имплантата Niko Dental (Россия-Германия) | 20000 |
| Установка имплантата Alpha Bio (Израиль) | 20000 |
| Установка имплантата Astra Tech (Швеция) | 50000 |
| Установка имплантата Nobel Replace (США) | 45000 |
| Установка имплантата Biomet 3i (США) | 45000 |
| Установка имплантата Mis (Израиль) | 30000 |
| Наименование | Стоимость, руб. |
| Установка формирователя на имплантат Niko Dental | 5000 |
| Установка формирователя на имплантат Alpha Bio | 3500 |
| Установка формирователя на имплантат Astra Tech | 10000 |
| Установка формирователя на имплантат Nobel Replace | 5000 |
| Установка формирователя на имплантат Biomet 3i | 5000 |
| Установка формирователя на имплантат Mis | 5000 |
| Наименование | Стоимость, руб. |
| Протезирование зуба с использованием имплантата Niko, Alpha Bio (металлокерамическая коронка) | 28000 |
| Протезирование зуба с использованием имплантата Niko, Alpha Bio (промежуточная часть, металлокерамика) | 25000 |
| Протезирование зуба с использованием имплантата Astra Tech (металлокерамическая коронка) | 48000 |
| Протезирование зуба с использованием имплантата Astra Tech (промежуточная часть, металлокерамика) | 43000 |
| Протезирование зуба с использованием имплантата Mis (металлокерамическая коронка) | 38000 |
| Протезирование зуба с использованием имплантата Mis (промежуточная часть, металлокерамика) | 30000 |
| Наименование | Стоимость, руб. |
| Протезирование зуба с использованием имплантата Niko, Alpha Bio (циркониевая коронка) | 40000 |
| Протезирование зуба с использованием имплантата Niko, Alpha Bio (промежуточная часть, цирконий) | 33000 |
| Протезирование зуба с использованием имплантата Astra Tech (циркониевая коронка) | 58000 |
| Протезирование зуба с использованием имплантата Astra Tech (промежуточная часть, цирконий) | 43000 |
| Протезирование зуба с использованием имплантата Mis (циркониевая коронка) | 43000 |
| Протезирование зуба с использованием имплантата Mis (промежуточная часть, цирконий) | 35000 |
| Наименование | Стоимость, руб. |
| Протезирование зуба с использованием имплантата: съёмный акриловый протез с фиксацией на 4 имплантатах (фрезерованная балка), балочный протез из 14 зубов на 1 челюсть из трехслойной акриловой пластмассы | 260000 |
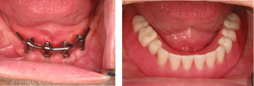
Метод имплантации челюсти на 2 имплантах для установки протеза без неба, можно рассматривать исключительно в отношении нижней челюсти. Полный протез челюсти на 2 имплантах относится к съемному типу протезирования.
Для крепления пртеза к имплантам используется механизм кнопочной фиксации при помощи шаровидных абатментов.
Показанием к установке съемного протеза на 2 имплантах служит значительная атрофия кости и невозможность установить 4 импланта.
Полное протезирование челюсти на двух имплантах имеет относительно невысокую стоимость, но и ряд недостатков.
Главный минус восстановления челюсти на двух имплантах – это неравномерное распределение жевательной нагрузки, которая приходится только на установленные импланты, а незадействованная имплантацией кость продолжает атрофироваться.
Нагружается десна и деформируется под давлением протеза, что требует регулярной (примерно раз в год) перебазировки протеза. Съемным протезам на двух имплантах свойственно изнашивание кнопочного механизма, как и другим протезам этого типа фиксации.
***
В стоматологии «Апекс-Д» специалисты имплантолог и ортопед проводят бесплатную совместную консультацию на которой Вы можете узнать все особенности имплантации и методы восстановления челюсти на имплантах, которые подходят именно для вашего клинического случая. Наши врачи помогут подобрать наиболее оптимальный вариант протезирования челюсти на 4, 6 или 8 имплантах по доступной цене.
Записаться на приём в стоматологию Апекс-Д Вы также можете по телефонам: +7 (495) 749-07-12, +7 (495) 585-02-51,
написав нам в мессенджеры и социальные сети:
или же отправить заявку он-лайн.
Наш администратор свяжется с вами по указанному телефону и согласует дату и время приема.