ZOOM 3 27 000 рублей*
* Комплексное отбеливание зубов
Москва ул. Соловьиная Роща, д.2
Пн-Пт: 900–2100
Сб: 1000–1800
Вс: Выходной
Запись на бесплатную консультацию:
Самые распространенные причины: естественное старение, употребление красящих продуктов, таких как кофе, чай, кола, а так же курение. Принятие тетрациклина и некоторых других антибиотиков, или излишнего количества фтора во время формирования зубов так же может привести к потемнению зубов.
В нашей клинике мы используем технологию отбеливания зубов Zoom 3.
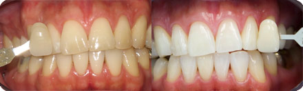
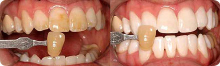
Отбеливание зубов ZOOM 3 является одним из популярных методов профессионального отбеливания зубов, благодаря тому, что система не повреждает эмаль зубов. Система отбеливания Zoom 3 отбеливает зубы на 4-8 оттенков за 1 процедуру.
Основным ингредиентом системы отбеливания Zoom является не пероксид водорода, как в большинстве систем, а пероксид карбамида. В отличие от других методов отбеливания зубов, данный метод применяется с использованием безкислотного отбеливающего геля, что исключает повреждение эмали. А применение спектра определенной длины излучения позволяет исключить «перегрев» нерва в зубе.
При первом посещении клиники производится профессиональная гигиена полости рта профессиональная чистка зубов, а затем в течении 10 дней пациент чистит зубы, добавляя в зубную пасту пасту Fluorydent. Она снижает чувствительность зубов и укрепляет эмаль перед процедурой отбеливания. Мы так же советуем предварительно вылечить все зубы, имеющие кариозные дефекты (провести санацию полости рта, см. лечение зубов) и пройти курс минерализации зубов.
Через 10 дней проводится отбеливание. Процедура отбеливания длится около 1 часа и включает в себя следующие этапы:

В результате зубы становятся белее примерно на восемь оттенков и иногда больше, чем были раньше!

При соблюдении рекомендаций врача результат сохраняется до 3 лет. Для того, чтобы результаты отбеливания сохранились дольше, если следовать «инструкциям системы Zoom 3 отбеливания по уходу за зубами после процедуры отбеливания зубов», а именно флосс, дважды в день чистить зубы ультразвуковой зубной щеткой Ultrasonex (ультразвуковая щетка).
Пациентам, которые принимают препараты, вызывающие светочувствительность, необходимо до процедуры проконсультироваться со своим лечащим врачом. Система отбеливания зубов Zoom 3 не рекомендована лицам моложе 13 лет, а также беременным и кормящим женщинам. Не рекомендуется отбеливание при приеме светочувствительных препаратов и при наличии кардиостимуляторов. В случае серьезных заболеваний десен - гингивита, пародонтита и пародонтоза, сначала Вам следует посетить врача-пародонтолога и только после этого Вы сможете отбеливать зубы.
Если вас не устраивает цвет зубов, а красивую улыбку вы всегда считали несбыточной мечтой - не медлите! Мы очень рады будем вам помочь.
| Наименование | Стоимость, руб. |
| Профессиональная гигиена полости рта и зубов первично | 7000 |
| Профессиональная гигиена полости рта и зубов повторно | 6000 |
| Удаление наддесневых и поддесневых зубных отложений (1 зуба) | 300 |
| Избирательное полирование зуба (пастой Детартрин) | 200 |
| Глубокое вторирование эмали зуба | 200 |
| Электроодонтометрия зуба | 200 |
| Временное шинирование при заболеваниях пародонта | 1500 |
| Профессиональное отбеливание зубов (ZOOM) | 27000 |
Записаться на бесплатную совместную консультацию для составления плана лечения Вы можете у администратора по телефону:
+7 (495) 749-07-12
+7 (495) 585-02-51
или онлайн
Записаться на приём в стоматологию Апекс-Д Вы также можете по телефонам: +7 (495) 749-07-12, +7 (495) 585-02-51,
написав нам в мессенджеры и социальные сети:
или же отправить заявку он-лайн.
Наш администратор свяжется с вами по указанному телефону и согласует дату и время приема.