ПРОТЕЗИРОВАНИЕ 81 000 рублей*
* Металлокерамический протез на 3 зуба на имплантаты Niko Dental
Москва ул. Соловьиная Роща, д.2
Пн-Пт: 900–2100
Сб: 1000–1800
Вс: Выходной
Запись на бесплатную консультацию:
В большинстве случаев, когда отсутствуют подряд сразу несколько зубов, мостовидная конструкция закрепленная на имплантатах, оказывается самым верным способом, с точки зрения рационального использования места в области недостающих зубов и функционального распределения нагрузки.
Опора на имплантаты позволяет не загружать родные соседние с деффектом зубы, дольше сохраняя их здоровыми.
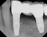
Мостовидные протезы с опорой на имплантаты (или зубные мосты) применяют для восстановления 2 и более отсутствующих кряду зубов во фронтальном и в жевательном разделах как верхней, так и нижней челюсти.

При этом, такая конструкция должна быть зафиксирована, как минимум, на двух имплантатах, и более.
Количество и местоположение имплантатов зависит от количества утраченных зубов, состояния твердых и мягких тканей в области деффекта.
Зубной мост на имплантатах представляет собой несъемную конструкцию, видимая часть которой состоит из нескольких, объединенных между собой в единый блок, искусственных зубов, имеющих внутренние крепления – дентальные имплантаты.
При одновременной опоре моста с одной стороны на имплантат, а с другой - на живой зуб, следует учитывать, что разные опоры имеют разную степень фиксации в кости:
В процессе ношения протеза такие различия создают некоторый амортизационный эффект, который дестабилизирует равномерное распределение нагрузки и, в итоге, приводит к расшатыванию опор.
Поэтому ортопеды рассматривают такой вариант крепления моста крайне нецелесообразным.
Кроме того каждая опора, отличная от другой, имеет свою вероятность наступления осложнений:
Со временем такая конструкция определенно потребует переделки!
В настоящее время многие пациенты отдают пердпочтение зубным мостам, как наиболее удобному варианту и тому есть несколько причин.
Мостовидный протез на имплантатах – это весьма прочная конструкция, которая способна выдерживать достаточно высокую жевательную нагрузку, которая равномерно распределяется по всей поверхности зубного моста.
Такой метод несъемного протезирования дает возможность восстанавливать деффекты любой протяженности, не исключая весь зубной ряд.
Закрепленные в кости имплантаты достаточно устойчивы и делают мост более уязвимым к регулярным внешним механическим раздражителям.
По мере привыкания к установленной конструкции организму пациента свойственно адаптивное восприятие зубного моста, он перестает распознавать конструкцию как инородное тело.
Умело установленный мостовидный протез гарантирует его безопасное использование не прибегая к каким-либо особым мерам предосторожности. По мере эксплуатации протеза в обычных для пациента условиях, он нуждается в очень неприхотливом уходе.
Соседние с областью деффекта зубы остаются незадействованы и дольше сохраняются здоровыми.
Использование имплантатов для опоры и крепления протеза позволяет не травмировать соседние живые зубы, не обтачивая их и сохраняя нерв. Это ограждает последние от ускоренного изнашивания за счет увеличенного жевательного давления.

Мост крепко фиксируется на имплантатах, что исключает вероятность его смещения.
Мостовидные протезы на имплантатах вполне соответствуют высоким эстетическим требованиям к внешнему виду.
Наносимая на металлический каркас керамическая облицовка располагает широким цветовым спектром, что позволяет придать нужный оттенок искусственным зубам и сделать протез практически не выделяемым в ряду собственных зубов.
Использование современных материалов и технологий, таких как металл диоксид циркония в качестве каркаса циркониевых коронок, усиливает данный эстетический эффект, благодаря присущему ему светлому (часто белому) оттенку с большой степенью прозрачности.
За счет крепкой фиксации металлического каркаса на прочных титановых опорах мост приобретает уверенно надежное положение и долгосрочность эксплуатационного периода. Насколько этот период будет длительным во многом зависит от материала искусственных зубов и добросовестной индивидуальной гигиены полости рта. А биосовместимые материалы - титановые имплантаты и биоинертные сплавы металлов (золото, платина, диоксид циркония) не вызывают побочных раздражающих реакций.
Стоимость мостовидного протеза на имнлантатах, в первую очередь, зависит от протяженности деффекта зубного ряда и, соответственно, самого моста, а так же:
При полном отсутствии зубов в челюсть нужно установить не менее 8 имплантатов-опор, для обеспечения основательного крепления и наиболее длительного сохранения конструкции в исправном состоянии.
Но бывают случаи, когда в предполагаемой области вживления имплантата опорная костная ткань находится в недостаточном количестве, и установка всех 8-и имплантатов крайне затруднительна.
Для таких пациентов возможна имплантация 6 опор для крепления моста.
На верхней челюсти количество имплантатов рекомендуется больше чем на нижней, так как костная ткань имеет более рыхлую структуру.
Важно знать, что малярные группы разделять нельзя, поэтому, при сохранении адекватных свойств кости и прочих условий для имплантации, установка как минимум 8-и имплантатов считается наиболее оптимальным решением для обеспечения правильного функционирования новых зубов.
При этом наиболее предпочтительнее собрать мост на весь зубной ряд из 2-х или 3-х мостовидных конструкций отдельно зафиксированных в челюсти. Это во многом облегчает как домашний гигиенический уход за протезом, так и профессиональное обслуживание протеза у стоматолога, например, если возникнет необходимость в ремонте.
В клинике “Апекс-Д” мы предлагаем провести весь комплекс мероприятий по имплантации зубов и дальнейшему протезированию на имплантатах с применением мостовидной конструкции.
| Наименование | Стоимость, руб. |
| Установка имплантата Niko Dental (Россия-Германия) | 20000 |
| Установка имплантата Alpha Bio (Израиль) | 20000 |
| Установка имплантата Astra Tech (Швеция) | 50000 |
| Установка имплантата Nobel Replace (США) | 45000 |
| Установка имплантата Biomet 3i (США) | 45000 |
| Установка имплантата Mis (Израиль) | 30000 |
| Наименование | Стоимость, руб. |
| Установка формирователя на имплантат Niko Dental | 5000 |
| Установка формирователя на имплантат Alpha Bio | 3500 |
| Установка формирователя на имплантат Astra Tech | 10000 |
| Установка формирователя на имплантат Nobel Replace | 5000 |
| Установка формирователя на имплантат Biomet 3i | 5000 |
| Установка формирователя на имплантат Mis | 5000 |
| Наименование | Стоимость, руб. |
| Протезирование зуба с использованием имплантата Niko, Alpha Bio (металлокерамическая коронка) | 28000 |
| Протезирование зуба с использованием имплантата Niko, Alpha Bio (промежуточная часть, металлокерамика) | 25000 |
| Протезирование зуба с использованием имплантата Astra Tech (металлокерамическая коронка) | 48000 |
| Протезирование зуба с использованием имплантата Astra Tech (промежуточная часть, металлокерамика) | 43000 |
| Протезирование зуба с использованием имплантата Mis (металлокерамическая коронка) | 38000 |
| Протезирование зуба с использованием имплантата Mis (промежуточная часть, металлокерамика) | 30000 |
| Наименование | Стоимость, руб. |
| Протезирование зуба с использованием имплантата Niko, Alpha Bio (циркониевая коронка) | 40000 |
| Протезирование зуба с использованием имплантата Niko, Alpha Bio (промежуточная часть, цирконий) | 33000 |
| Протезирование зуба с использованием имплантата Astra Tech (циркониевая коронка) | 58000 |
| Протезирование зуба с использованием имплантата Astra Tech (промежуточная часть, цирконий) | 43000 |
| Протезирование зуба с использованием имплантата Mis (циркониевая коронка) | 43000 |
| Протезирование зуба с использованием имплантата Mis (промежуточная часть, цирконий) | 35000 |
Наиболее часто к нам обращаются пациенты для восстановления 3-х или 4-х отсутствующих зубов кряду, чаще в области крайних жевательных зубов.
В стоимость готового предложения включены следующие процедуры:
ИМПЛАНТАЦИЯ I и II ХИРУРГИЧЕСКИЕ ЭТАПЫ
Вживление 2-х или 3-х импланатов - это установка самих имплантатов, загушек и формирователей
ОРТОПЕДИЧЕСКИЙ ЭТАП
Гарантия на имплант – 10 лет
Гарантия на протез – 2 года
Мостовидная конструкция обладает отличными качественными характеристиками, при этом, немалое значение имеет материал, из которого изготавливают коронки, который, во многом определяет длительность эксплуатационного периода протеза.
На сайте клиники “Апекс-Д” Вы можете ознакомиться с особенностями и выбрать понравившуюся имплантационную систему. Мостовидная конструкция с опорой на имплантаты – это достойное решение для восстановления целостности зубного ряда.
Записаться на приём в стоматологию Апекс-Д Вы также можете по телефонам: +7 (495) 749-07-12, +7 (495) 585-02-51,
написав нам в мессенджеры и социальные сети:
или же отправить заявку он-лайн.
Наш администратор свяжется с вами по указанному телефону и согласует дату и время приема.