Москва ул. Соловьиная Роща, д.2
Пн-Пт: 900–2100
Сб: 1000–1800
Вс: Выходной
Запись на бесплатную консультацию:

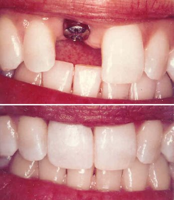
Конструкция систем российских имплантатов НИКО достаточно проста и в то же время надежна. Для изготовления имплантатов Niko Dental используется технически чистый титан (Grade 4, соответствующий стандартам ISO 5831/II и ASTM F67-89). обладающего высокой биосовместимостью с костной тканью и обеспечивающего высокие показатели остеоинтеграции.



Внутрикостная часть имплантатов Niko Dental имеет цилиндрическую форму. Упорная резьба наносится по всей длине импланта и благодаря своему профилю равномерно распределяет механическую нагрузку на костную ткань. Внутрикостная часть имплантата Niko Dental соединятся с супраструктурой при помощи внутреннего шестигранника, исключающего вращение, конуса и фиксирующего винта. Внутрикостная часть российских зубных имплантатов НИКО обрабатывается по оригинальной технологии, впервые примененной в истории имплантации зубов, что позволяет создать развитый микрорельеф поверхности и увеличить биоинертность и биотлерантность имплантов. Супраструктура имплантатов Niko Dental имеет различную длину (в зависимости от размера десны), может быть прямой или наклонной, а также иметь выступы. Конструкция супраструктуры систем имплантации НИКО предусматривает возможность боковой или трансокклюзионной фиксации зубных протезов. Помимо постоянных винтовых имплантов, которые устанавливаются с использованием классической двухэтапной методики имплантации, выпускаются временные импланты с головкой прямой и шаровидной формы.


Российская система имплантации НИКО проста и удобна как при установке имплантатов, так и на ортопедическом этапе лечения. Это способствует не только высокой надежности систем имплантатов Niko Dental, но и сокращению времени лечения и стоимости имплантации. Геометрия резьбы имплантатов Niko Dental, абсолютная биосовместимость поверхности имплантов и чистота используемых при их изготовлении материалов позволяет добиться надежной фиксации имплантов в костной ткани даже при сложных клинических случаях (
Высокое качество имплантов и доступные на зубные импланты цены делают системы российских имплантатов Niko Dental оптимальным вариантом в соотношении цена/качество.
Комплексные исследования систем имплантации НИКО позволяют говорить о том, что они ни в чем не уступают системам имплантов ведущих мировых производителей, а в отношении некоторых критериев даже превосходят их.
Записаться на приём в стоматологию Апекс-Д Вы также можете по телефонам: +7 (495) 749-07-12, +7 (495) 585-02-51,
написав нам в мессенджеры и социальные сети:
или же отправить заявку он-лайн.
Наш администратор свяжется с вами по указанному телефону и согласует дату и время приема.